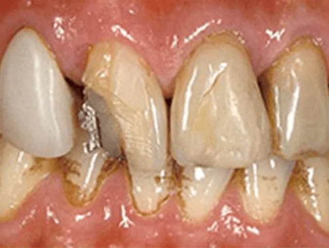
❌ Inconsistent Quality & Lack of Regulations
With few government-enforced standards in dentistry, quality varies widely. Some clinics attract patients with very low pricing but compromise on materials and safety.
✅ How to avoid: Always check Google reviews, patient videos, clinic tours, and social media presence. Transparency is the best indicator of trust.


































